BIENVENIDA



BIENVENIDA

Somos una organización sin ánimo de lucro creada en el 2015 en Galicia gracias a la necesidad de orientación y ayuda de padres de niños con labio fisurado y paladar hendido y sus familiares.

Aunque los comienzos son complicados y todavía somos unas pocas familias nuestro interés es ayudar a toda la gente posible y dar a conocer la Unidad de Fisuras Labiopalatinas del CHUAC, única de referencia autonómica.

Aquí encontrarás información y noticias relacionadas con la Asociación Beizos. Para cualquier tipo de consulta podéis contactar a través de nuestra cuenta de correo electrónico beizosgalicia@gmail.com o llamando al 623 19 82 69.


HOLA

¡¡Comenzamos!! Como ya dije en la bienvenida, todo comienzo es complicado, fallos, aciertos y mucha ilusión por llegar hasta donde quere...

miércoles, 30 de agosto de 2017

Pompero casero


¡¡Vamos a seguir soplando!!





viernes, 18 de agosto de 2017

Operation Smile


Más historias, ejemplos de vida. Mismo problema, distinto lugar. Otro tipo de lucha pero, lo que nos hace iguales, el amor por nuestros hijos.

Testimonio publicado en Operation Smile Malawi.





Mtengeni de Malawi nos muestra lo que significa ser un padre dispuesto a hacer algo por su hijo. Cuando su hija Georgina nació con la hendidura, él nunca vaciló en demostrar su amor y la aceptación por ella. Cuando otros niños se burlaban de Georgina, hizo todo lo posible para consolarla y apoyarla. Y cuando se enteró de que la Operación Smile Malawi podría proporcionarle a Georgina una cirugía, Mtengeni hizo todo lo posible para asegurar que su hija pudiera recibir la atención quirúrgica que transformaría su vida.
Lee la historia de este increíble padre e hija dúo: bit.ly/Georgina1

lunes, 14 de agosto de 2017

Operación Sonrisa Honduras

La Fundación Operación Sonrisa Honduras es parte de Operation Smile Inc., una organización mundial existente en varios países dedicada al tratamiento de niños y adultos que sufren de deformidades faciales de labio y paladar hendido.

Operacion Sonrisa Honduras provee tratamiento integral gratuito a niños incluyendo areas como cirugía plástica, terapia de lenguaje, psicología, odontología, ortodoncia, pediatría, audiología y nutrición.

La fundación trabaja gracias a la donaciones de sus voluntarios que regalan a los niños su tiempo y sus habilidades con un gran corazón y a los patrocinadores que les brindan los medios económicos para realizarlo.

Operacion Sonrisa Honduras provee tratamiento integral gratuito a niños incluyendo areas como cirugía plástica, terapia de lenguaje, psicología, odontología, ortodoncia, pediatría, audiología y nutrición.

La fundación trabaja gracias a la donaciones de sus voluntarios que regalan a los niños su tiempo y sus habilidades con un gran corazón y a los patrocinadores que les brindan los medios económicos para realizarlo.




viernes, 11 de agosto de 2017

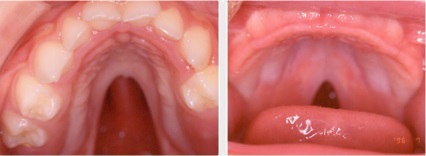
Síndrome de Pierre Robin


¿Por qué ocurre?

Es una anomalía congénita presente al nacer y que se caracteriza por la tríada de: micrognatia (mandíbula muy pequeña), glosoptosis (lengua cae hacia atrás y hacia abajo) y fisura del paladar blando, por lo que estos niños desarrollan desde el nacimiento problemas respiratorios y digestivos severos que se pueden asociar a mortalidad elevada.


Al ser una anomalía del primer arco branquial, se asocian múltiples problemas oftalmológicos que pueden pasar desapercibidos al clínico ante la gravedad del cuadro sistémico, pero que pueden comprometer el posterior desarrollo del niño.
Se produce en las primeras nueve semanas de la gestación, originando una hipoplasia en la mandíbula con inserción posterior de la lengua, que es de tamaño normal, impidiendo el cierre del paladar distal, con lo que no se produce el desarrollo correcto del macizo cráneo-encefálico con dificultad respiratoria y en la deglución.
Se desconocen las causas específicas de esta alteración malformativa pero podría aparecer gracias a la unión de varios síndromes genéticos. Así la mandíbula se desarrolla lentamente en los primeros meses de vida antes de nacer, pero su crecimiento se acelera en el primer año después de nacer. La caída de la lengua hacia atrás puede provocar episodios de ahogamiento y dificultades de alimentación y respiratorias, especialmente cuando en niño duerme.
¿Qué especialistas tratan al paciente con Síndrome de Pierre Robin?
El tratamiento de los pacientes con síndrome de Pierre Robin es interdisciplinar y va a depender de las malformaciones específicas y de las necesidades psicosociales de cada individuo afectado.
La evaluación y tratamiento comienza desde el nacimiento y la infancia, ya que es importante el diagnóstico temprano donde el pediatra, neurocirujano, genetista, endocrinólogo, oftalmólogo, odontopediatra, y psicólogo, son esenciales. Más tarde y a lo largo de su infancia se integran al equipo de trabajo, el ortodoncista, odontólogo general, terapeutas del lenguaje, y todos aquellos profesionales necesarios para resolver las complicaciones que frecuentemente ocurren, sin olvidar que durante la escolarización es de suma importancia la colaboración y relación de los educadores/profesores, orientadores educativos con los anteriores profesionales para una correcta evolución del individuo.
¿Cómo puedo encontrar lo mejor para mi hijo?
A continuación le ofrecemos algunos puntos que hay que considerar en el momento de elegir el equipo que debe tratar las alteraciones secundarias al síndrome de Pierre Robin de su hijo.
  • - ¿Existe algún miembro del equipo responsable en la coordinación o de entrar en contacto con los otros miembros?
  • - ¿Es fácil utilizar a este profesional para contactar con los otros miembros si alguna duda surge en el cuidado de su hijo? ¿Es fácil para este profesional contactar con cualquier miembro del equipo ?
  • - Si los padres están interesados en conocer otros casos similares al de su hijo ¿puede ponerle en contacto con otros padres o una asociación de afectados?
  • - ¿Los miembros del equipo les mantienen correctamente informados acerca de las opciones sobre el tratamiento pudiendo entender y tomar parte en las decisiones a realizar?
  • - ¿Qué experiencia poseen los miembros del equipo y desde cuándo tratan pacientes con las mismas características de su hijo?


Es importante estar al corriente de cuántos niños son tratados por el equipo al año con la misma patología y sobre todo desde cuando estos profesionales trabajan juntos. Estos consejos harán que pueda encontrar en el tratamiento de su hijo los mejores resultados.


Tratamiento de paciente



a) Tratamiento conservador
Los niños con severa micrognatia pueden presentar una obstrucción significativa de las vías aéreas al nacer, requiriendo una vía aérea artificial (tubo nasofaríngeo, máscara laríngea, tubo endotraqueal).
La mayoría de los neonatos tendrá problemas con la alimentación. La fisura palatina impide una correcta presión negativa necesaria para la succión. La leche u otros líquidos, deben ser administrados mediante una tetina larga que tenga un corte grande en el agujero de salida, para poder así efectuar la entrega de líquido sin un sobreesfuerzo por parte del bebé.


La cirugía del paladar fisurado implica aprovechar el tejido en ambos lados de la zona fisurada para reconstruir el paladar. Requiere pasar de 1 a 2 noches en el hospital. Esta cirugía tiene como objetivo crear un paladar funcional y así reducir las probabilidades de que se acumule líquido en el oído interno favoreciendo el desarrollo normal del paladar y de los huesos faciales del niño. Además, favorecerá el desarrollo del habla y facilitará la alimentación.



b) Características orales asociadas al Síndrome de Pierre Robin:
  • La lengua tiende a caer hacia atrás y hacia abajo, lo que puede provocar episodios de ahogamiento y dificultades de alimentación o respiratorias, especialmente cuando el niño duerme.
  • Lengua de apariencia grande en relación con la mandíbula que suele ser pequeña con un mentón retraído.
  • Paladar alto, arqueado y fisurado.
  • Infecciones auditivas recurrentes.
  • Dientes natales:
  • - Por un lado, aparecen en el momento del nacimiento del bebé.
  • - Por otro lado, suelen aparecer en la encía inferior, en el lugar que ocuparan los incisivos centrales, cuentan con poca o ninguna estructura radicular y están adheridos a la encía por medio de tejido blando; de manera que son poco firmes y pueden plantear problemas como el riesgo de aspiración por parte del niño o molestias en la lactancia tanto al bebe como a la madre. Por todo esto, se extraen casi al momento de nacer el niño.

c) Cuidado con los dientes:

Hay cuatro medidas preventivas básicas que deben realizar los padres para ayudar a sus niños a mantener una buena salud oral:
  • 1. Instruir buenos hábitos de salud oral . Cuando el niño alcance el año de vida, puede empezar a usar pasta dental cuando le cepillen los dientes. Sin embargo, es mejor usar sólo una gotita de la pasta dental y empujarla dentro de las cerdas para que el niño no se la coma. Y, cuando los espacios entre los dientes se le cierren, es importante empezar a usar el hilo dental.
  • 2. De los padres el buen ejemplo: Los padres deben llevar buenos hábitos de salud oral y permitir que sus hijos les vean, efectuando juntos la higiene; así los niños lo imitarán.
  • 3. Establecer en la familia visitas regulares al dentista para su revisión general.
  • 4. Realización de exámenes de la boca del niño para ver si hay signos de alteraciones orales.


Si piensa que su niño tiene malos hábitos de higiene oral, haga el esfuerzo necesario para que los cambie. Es más fácil modificar estos hábitos de niño que en el adulto. El niño imita el comportamiento de los padres, por lo tanto, es lógico que los padres deben servir de ejemplo positivo con sus hábitos de higiene oral. El seguimiento de los pacientes debe ser estrecho a partir de los seis años, las visitas pueden espaciarse hasta 6 meses como máximo. Así se evitara que si algún problemas aparece, este se agrave, facilitando así el tratamiento. Para asegurar dientes sanos en los adultos, se deben establecer buenos hábitos orales desde niños.

d) Control del lenguaje y habla

El desarrollo normal de la lengua, los labios, mandíbula y paladar son esenciales para que un niño pueda emitir sonidos apropiadamente y hablar con claridad. El tratamiento logopédico debe iniciarse lo más precozmente posible, generalmente con el inicio del habla hacia los dos años hasta aproximadamente los 8 años. Hay que tener en cuenta que se trata de una terapia individualizada, dependiendo de cada paciente en concreto.
Es absolutamente necesaria la implicación familiar ya que requiere una gran constancia para obtener los mejores resultados en el futuro.Los fonemas más alterados son: /k/, /g/, /x/. La mayoría de las consonantes van acompañadas de un ligero silbido nasal. La poca actividad general que estos niños tienen en los músculos del paladar y de la lengua conlleva un mayor grado de nasalización.
Para trabajar las deficiencias que se les presentan a estos pacientes se ha de establecer un programa que aborde ciertos aspectos como:
  • - Eliminar movimientos anormales y establecer nuevos movimientos más correctos.
  • - Practicar inspiración nasal y espiraciones bucales.
  • - Coordinación fono-respiratoria.
  • - Movilizaciones pasivas y activas del paladar.
  • - Identificar los problemas en los que hay fuga nasal y reducir ésta..
  • - Aumentar la claridad e inteligibilidad del discurso.

Los factores favorables para el éxito son la temprana edad de actuación, los buenos resultados de la cirugía, ortodoncia en la época precisa, la habilidad para el habla y la colaboración efectiva del paciente y su entorno.

Tratamiento ortodóncico-quirúrgico


Muy frecuentemente los pacientes con síndrome de Pierre Robin necesitan el avance quirúrgico en su mandibula, procedimiento que se conoce con el nombre de “distracción”. Independientemente a todo paciente se le tenga que realizar una distracción necesita una revisión odontológica previa además de una valoración clínica, un estudio radiográfico y análisis de modelos, para planear y diseñar el proceso de distracción. El estudio radiográfico consta de radiografías anteroposterior, de perfil y panorámica, las cuales con sus respectivos trazados cefalométricos, permiten planear al tratamiento de la distracción. El estudio de modelos define dos aspectos trascendentes: establecer el tratamiento ortodóncico a seguir y la duración del mismo.
El tratamiento ortodóncico previo depende del tipo de distracción a realizar y de la edad del paciente; en la mayoría de los individuos con dentición temporal no se realiza tratamiento previo, pero sí durante el proceso de distracción y al terminar el mismo, para lo cual previamente se coloca un arco lingual inferior y un arco transpalatino en la porción superior.
El paciente que se halle en dentición mixta o permanente, requiere un manejo ortodóncico más específico; en los pacientes en dentición mixta el tratamiento consiste en aparatología ortopédica fija tipo Quad Helix y/o arco transpalatino, los cuales permiten lograr una expansión previa de los segmentos colapsados, facilitando la distracción. A los pacientes en dentición permanente se les realiza nivelación y alineación previas, para estabilizar el resultado del proceso de distracción.
Distracción, antes y después

a) Manejo ortodóncico transdistracción.

Se manejan con el uso de elásticos clase I, II y III, para permitir la acción de las fuerzas elásticas y cambiar la dirección del proceso o acentuarla según cada caso. En ocasiones se utiliza un apoyo externo, mediante mentoneras para controlar la dirección de crecimiento mandibular.
b) Manejo ortodóncico postdistracción.

Los pacientes en dentición temporal se manejan con aparatología miofuncional tipo Frankel, Bionator, Bimler y activadores, los cuales permiten modificar la posición de las estructuras óseas manteniendo y/o mejorando el resultado del proceso de distracción. Una vez estabilizado el resultado se continúa con el proceso ortodóncico convencional. Los pacientes en dentición mixta se manejan mejor primero con aparatología ortopédica removible y fija, y luego con el tratamiento ortodóncico convencional. En los sujetos en dentición permanente se continúa el manejo con los elásticos, así como el tratamiento de ortodoncia correctiva o prequirúrgico en los casos que requieran de segundas o terceras intervenciones quirúrgicas.

A continuación tenéis un vídeo en el que veréis con más detalle las características de este síndrome:



miércoles, 9 de agosto de 2017

Fisiobym "Fisioterapia para Bebés y Mamás"


La fisura palatina, consecuencia de la secuencia Pierre Robin, es una malformación congénita considerada como enfermedad rara. Dada su baja frecuencia, son pocos los profesionales que cuentan con experiencia en el manejo de estos bebés y al apoyo que necesitan las familias.

Con motivo de la Semana Mundial de la Lactancia Materna 2017, publicamos este artículo para analizar el tipo de cuidados que estos bebés necesitan por sus características. Por una parte analizamos la forma en la que la lactancia materna ha de ser llevada a cabo. Por otra, cómo el porteo ergonómico tiene enormes beneficios, pero qué debemos tener en cuenta para que no entrañe ningún riesgo y sea un porteo seguro.


Manos de Algodón
#secuenciapierrerobin
#enfermedadesraras
#rarasnoinvisibles
#porteo
#porteoergonomico
#porteoadaptado
#apoyo
#fisioterapia
#profesionales

http://www.fisiobym.com/fisura-palatina-lactancia-materna-y-porteo-seguro-en-secuencia-pierre-robin/




sábado, 5 de agosto de 2017

Los perros de terapia del Teresa Herrera, finalistas en los premios «Hospital Optimista»

Todas las ideas que se hagan con el fin de ayudar a los niños hospitalizados son bienvenidas desde Beizos.

El galardón, que se entregará en octubre en Barcelona, reconoce iniciativas amables para los pacientes y su familia




Perros terapéuticos de la Fundación Jove en el hospital materno infantil Teresa Herrera
Perros terapéuticos de la Fundación Jove en el hospital materno infantil Teresa Herrera

LA VOZ 
El proyecto de terapia asistida con perros del Hospital Teresa Herrera ha sido elegido finalista en la tercera edición de los premios «Hospital Optimista», que premia a nivel nacional las mejores iniciativas y proyectos destinados a humanizar el entorno sanitario.
Los perros del Teresa Herrera, una iniciativa pionera en Galicia de terapia con animales, fue puesta en marcha en febrero de 2016  por la Fundación María José Jove, la Fundación Profesor Novoa Santos y el Centro Canino de Montegatto. El objetivo de la introducción de los animales de terapia es comprobar si influyen positivamente en las relaciones sociales, comunicativas y afectivas de los niños participantes, principalmente pacientes con autismo o parálisis cerebral.
Ahora mismo, el proyecto se encuentra dentro de los cinco finalistas de la categoría dedicada a proyectos pediátricos. El galardón está organizado por la Fundación Atresmedia, la Fundación Grupo OTP, el equipo de investigación WANT de la Universidad Jaime I de astellín y la empresa Vygon. Los ganadores se darán a conocer en una gala que se celebrará el día 10 de octubre en Barcelona.

Terapia del Habla 3



Este vídeo presenta métodos y estrategias que se pueden usar en la terapia del habla. Primero demuestra cómo el paladar hendido/ fisura palatina afecta los sonidos del habla y luego repasa la jerarquía de terapia y muestra como usar las estrategias en la terapia.




jueves, 3 de agosto de 2017

Utilidad de la ingeniería tisular para la reparación de la fisura palatina


Enlace subido por ASAFILAP.



"Utilidad de la ingeniería tisular para la reparación de la fisura palatina" por Ilmo. Sr. D. Miguel Alaminos Mingorance, Académico Correspondiente. Madrid, 19 de abril de 2016.



Sólo subieron a Youtube el comienzo de la sesión, así que tenéis el vídeo completo aquí.